生物&海关

行业痛点

生物样本形貌复杂,常规显微镜无法全幅对焦或看清全貌

部分样品需要透过照明,常规显微镜需搭载额外配置

大部分样品兼具观察测量需求,常规显微镜无法满足

生物&海关应用案例

种子尺寸测量
种子尺寸测量
昆虫头部
昆虫头部
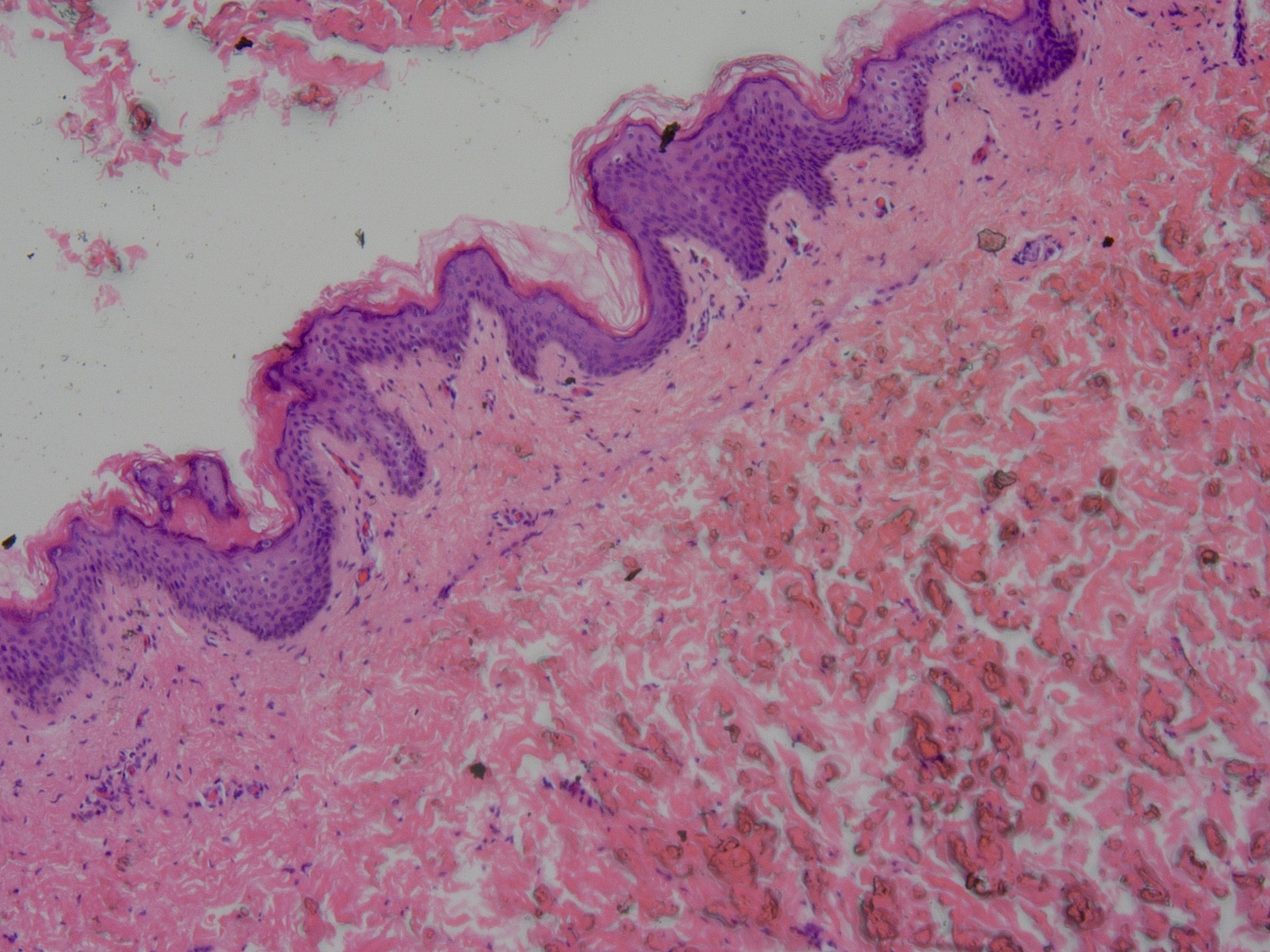
生物组织切片观察
生物组织切片观察
甲虫全貌拼接
甲虫全貌拼接
甲虫全身尺寸测量
甲虫全身尺寸测量
昆虫纤毛观察
昆虫纤毛观察

下载产品目录

DMS应用案例-生命科学领域

DMS应用案例-生命科学领域

PDF: 22.7 MB / 中文

下载
Full Image